કેરળમાં ટોમેટો ફ્લૂથી 82 બાળકો બીમાર, જાણો શું છે tomato fever….તેના લક્ષણો અને નિવારણ
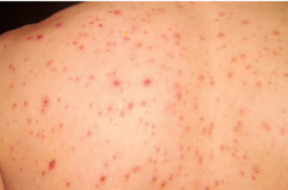
બાળકોમાં જોવા મળ્યો નવો રોગ ટોમેટો ફ્લૂથી 82 બાળકો બીમાર જાણો તેના લક્ષણો અને નિવારણ તીરૂવન્તપુરમ :કેરળમાં ટોમેટો ફીવર અથવા ટોમેટો ફ્લૂના ઘણા કેસ નોંધાઈ રહ્યા છે. જેમાં પાંચ વર્ષથી નીચેના બાળકો વધુ અસરગ્રસ્ત જોવા મળે છે. જેના કારણે એકલા કેરળમાં 82 કેસ નોંધાયા છે.કહેવામાં આવી રહ્યું છે કે,આ વાયરલ ઈન્ફેક્શન નાના બાળકોને જ પોતાનો […]


